Actualités

4/12/2025

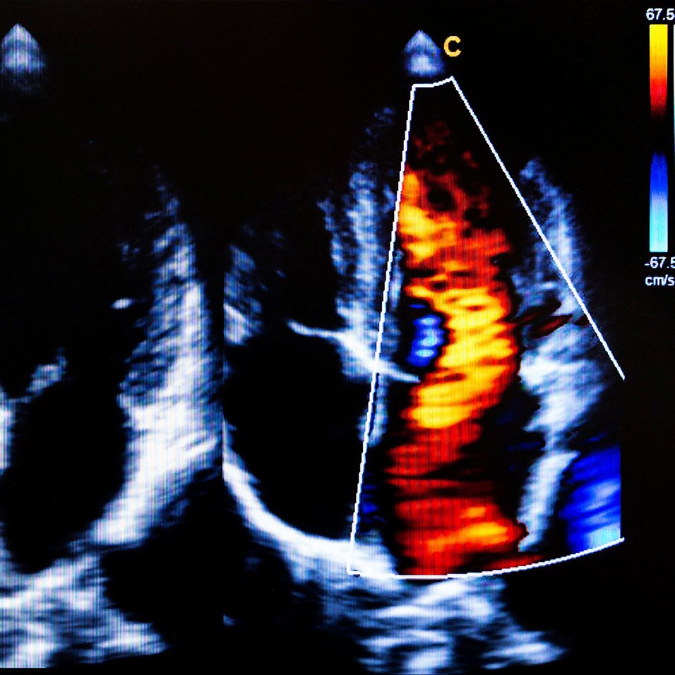
Comment retrouver des contractions cardiaques synchrones ?

Grâce à un pacemaker relié par des sondes au muscle cardiaque, il est possible de rendre au cœur une activité contractile synchronisée...

20/10/2025

Appel à projets de recherche - deadline 31/01/2027

Le Fonds pour la Chirurgie Cardiaque lance son appel à projets de recherche au cours du dernier trimestre de chaque année. Les chercheurs...

8/10/2025

RAPPORT D’IMPACT 2024

Pour soutenir les médecins chercheurs qui s’attachent au quotidien à soigner toujours mieux les patients cardiaques, le Fonds a réservé...

24/09/2025

La congestion dans l’insuffisance cardiaque mieux traitée

Le 27e Prix scientifique Jacqueline Bernheim, d’un montant de 30.000 €, vient de rejoindre les Prix para-académiques de l’Académie Royale...